Хронічний остеомієліт — це складне і довготривале захворювання кісток, яке супроводжується постійними болями, запаленням, утворенням гною та свищів. Його непросто вилікувати, а ремісія не завжди означає, що хвороба остаточно відступила. Але навіть із такою проблемою сьогодні можна ефективно боротися. Особливо, якщо звернутись до досвідчених лікарів та сучасного обладнання. Саме так працює медичний центр Awatage на Лівобережній у Києві.
Що таке хронічний остеомієліт?

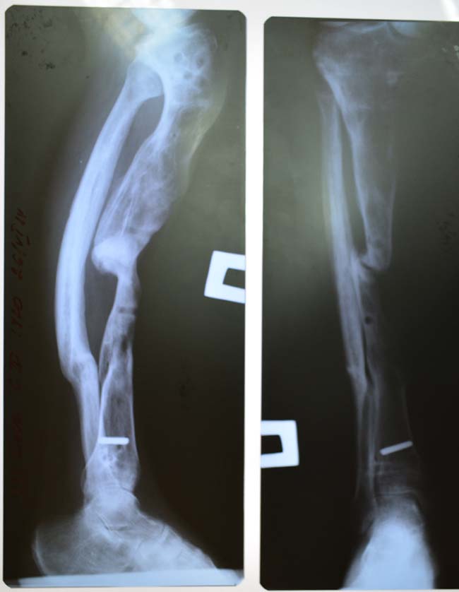
Це інфекційне захворювання, при якому бактерії або грибки вражають кісткову тканину — саму кістку, кістковий мозок і окістя. Часто інфекція виникає після травм, операцій, відкритих переломів або може потрапити в кістку через кров (наприклад із легень або сечостатевої системи). Найпоширенішим збудником є золотистий стафілокок, але можуть бути й інші (кишкова паличка, псевдомонада, мікобактерії, гриби).
Збудники створюють біоплівки, що захищають їх від імунної системи та антибіотиків. Через це захворювання часто повертається знову і знову, навіть після, здавалося б, ефективного лікування.
Симптоми, на які варто звернути увагу
Остеомієліт, про який ви можете дізнатися за посиланням https://awatage.com/ua/service/chronic-osteomyelitis/ на сайті провідного київського медичного центру "Аватаж", де успішно лікується хронічній остеомієліт - має підступний характер, адже його симптоми можуть з’являтися і зникати. Ось на що варто звернути увагу:
- хронічний біль у кістках або суглобах;
- поява свищів (отвори в шкірі з виділенням гною);
- постійне запалення або припухлість у ділянці старої травми чи операції;
- підвищена температура, озноб;
- загальне виснаження, слабкість;
- погане загоєння ран або післяопераційних швів.
Іноді симптоми невиражені, особливо у людей з діабетом чи зниженим імунітетом. Тому важливо не ігнорувати навіть незначні прояви.
Як діагностують остеомієліт?
Сьогодні лікарі застосовують сучасні методи діагностики, які дозволяють виявити остеомієліт навіть на ранніх етапах:
- МРТ і КТ — визначають глибину ураження, наявність мертвих ділянок кістки та стан м’яких тканин;
- УЗД — виявляє скупчення гною;
- аналізи крові і мазків — допомагають встановити точний збудник і підібрати ефективні антибіотики;
- рентген — застосовується як базове обстеження, особливо для оцінки змін кістки.
Лікування проводиться тільки після якісної діагностики. Якщо ви звертаєтесь до нас, команда мед центру Аватаж розробляє індивідуальний план лікування.
Як лікують остеомієліт?
Хронічний остеомієліт не лікується одним лише курсом антибіотиків. Тут потрібен комплексний підхід. Частіше за все застосовують сучасні підходи, що поєднують:
- Оперативне очищення вогнища інфекції — видаляються всі нежиттєздатні тканини, гній, біоплівки, секвестри. Якщо є металева фіксація кісток (пластини, гвинти), її при необхідності також прибирають.
- Тривала антибіотикотерапія — препарати підбираються за результатами аналізів, часто у вигляді внутрішньовенних інфузій. Інколи використовуються локальні імпланти з антибіотиками.
- ікування «мертвих просторів» — порожнини, що залишились після видалення зруйнованих тканин, заповнюють спеціальними матеріалами або проводять пластику для покращення загоєння.
- Стабілізація кістки — гіпсові пов’язки, зовнішні фіксатори або інші методи утримання кісткових фрагментів, щоб уникнути повторного пошкодження.
- Догляд за ранами — використання сучасних перев’язувальних матеріалів, антисептиків, місцевої терапії.
- Фізіотерапія — після гострого періоду можуть бути призначені методи, які стимулюють загоєння тканин і відновлення функцій.
Останні наукові дослідження підтверджують, що ударно-хвильова терапія має не лише знеболювальний і відновлювальний ефект, а й виражену антибактеріальну дію. Установлено, що під впливом акустичних хвиль руйнуються біоплівки патогенних мікроорганізмів, через які інфекція переходить у хронічну форму. Завдяки цьому значно покращується проникнення антибіотиків у вогнище запалення. У медичному центрі Аватаж ми активно застосовуємо УХТ у комплексному лікуванні хронічного остеомієліту. Лікування у нас дозволяє підвищити ефективність терапії, скоротити терміни одужання та знизити ризик рецидивів.
Чому пацієнти обирають саме мед центр Awatage у Києві на Лівобережній?
З кожним роком до нас звертається все більше і більше пацієнтів із різних куточків України. Причин тому декілька:
- Сучасне обладнання та точна діагностика — у центрі ми використовуємо найновіші методи візуалізації та лабораторні дослідження.
- Досвідчені хірурги та інфекціоністи — команда лікарів працює з тяжкими випадками, включаючи остеомієліт з ураженням хребта, стопи, тазу.
- Комфортні умови та індивідуальний підхід — лікування проходить в сучасному медичному центрі в Києві, недалеко від метро Лівобережна. У нас уважно ставляться до кожного пацієнта, пояснюючи всі етапи лікування.
Awatage — це місце, де складні діагнози лікують системно, сучасно та з турботою про людину. Якщо вас турбує підозра на остеомієліт або є хронічні проблеми з кістками — звертайтесь на консультацію вже сьогодні.

0 коментарів